درمان تنگی کانال نخاع بدون جراحی
نویسنده: دکتر مجید حیدریان فوق تخصص درد - دکتر سمیه اسلامی

کانال نخاع فضایی است در داخل ستون فقرات که در داخل آن نخاع قرار گرفته است. کانال استنوزیس از کنار هم قرار گرفتن سوراخی که در وسط مهره ها است ایجاد میشود. این کانال از داخل توسط غشائ محکمی بنام لیگامان زرد حمایت میشود.
تنگی کانال نخاع چیست؟
تنگی کانال نخاع (spinal canal stenosis) یک
وضعیت غیر طبیعی است که میتواند در هر قسمتی از کانال نخاعی اتفاق بیفتد. وقوع این حالت در قسمت کمر بیشتر از سایر قسمتهای ستون فقرات میباشد. کوچک شدن این فضا سبب فشار روی نخاع در داخل کانال شده و علائم این بیماری ایجاد میشود و در ادامه به بحث جراحی تنگی کانال کمری میپردازیم.
علت تنگ شدن کانال نخاع چیست؟
۱. ضخیم شدن لیگامانهای داخل کانال
۲. برجسته شدن یا بیرون زدگی دیسکها به داخل کانال
۳. ایجاد خارهای استخوانی در داخل کانال
۴. شکستگی مهره ها
۵. تغییر در مفاصل کنار مهرهای (مفاصل فاست)
آیا این بیماری زمینه ارثی دارد؟
در بعضی بیماران فضای داخل کانال بصورت مادرزادی تنگ تر از حالت عادی است این افراد بیشتر از بقیه در معرض ایجاد علائم تنگی کانال میباشند.
بیمارانی که دچار لغزندگی یا انحراف ستون فقرات هستند بیشتر از بقیه در معرض خطر ایجاد تنگی کانال هستند.
علائم تنگی کانال نخاع چیست؟
کمر درد
احساس گزگز - مورمور و بی حسی در اندام تحتانی
محدودیت در مسافتی که بیمار میتواند پیاده راه برود
خصوصیات درد در این بیماری
درد در کمر و پا بهمراه بی حسی بتدریج و باگذشت زمان زیاد میشود
درد کم و زیاد می شود و ممکن است بعضی روزها نباشد
تشدید درد میتواند بصورت درد سیاتیکی با انتشار به پاها باشد
درد در راه رفتن طولانی یا ایستادن طولانی ایجاد میشود
با ایجاد درد بیمار حالت خم شده به جلو به خود میگیرد
درد ممکن است فقط در طول شب اتفاق بیفتد
در حالت شدید میتواند با ضعف حرکتی یااختلال در کنترل ادرار باشد
تشخیص
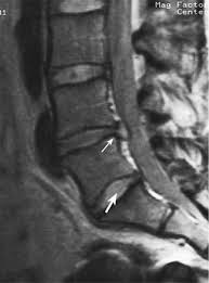
با مراجعه بیماران به کلینیک درد و معاینه دقیق صورت میگیرد.شایعترین وسیله تایید این تشخیص انجام MRI میباشد.
درمان تنگی کانال نخاع
الف. درمان غیر جراحی
ارائه ورزشها و تمرینات مخصوص به بیماران جهت جلوگیری از پیشرفت بیماری و درمان علائم آن
استفاده از کمربند طبی یا لوازم ارتوپدی فنی حمایت کننده
انجام فیزیوتراپی و آب درمانی
درمان دارویی با ضد دردهای ساده یا داروهای ضد التهاب
انجام تزریق اپیدورال
تزریق اپیدورال چیست و چگونه انجام میشود؟
تزریق استروئید به داخل فضای اپیدورال از مراحل درمانی ثابت و تایید شده در بیماران مبتلا به تنگی کانال نخاع است. این روش که قبلا توسط نیدلهای درشت و در فضای میانی ستون فقرات انجام میشد امروزه منسوخ شده و جای خود را به تزریق ترانس فورامینال داده است. این کار توسط فوق تخصص درد و در اتاق عمل انجام میشود.
روش انجام تزریق ترانس فورامینال
بیمار بصورت سرپایی بستری میشود
پس از بیحس کردن پوست در اتاق عمل وسیلهای شبیه یک سوزن نازک و بلند تحت مونیتور فلوروسکوپ به محل تنگی فرستاده میشود
پس از اطمینان از محل تزریق داروی مورد نظر تزریق شده و تنگی برطرف میگردد
یکساعت پس از این کار بیمار با پای خود ترخیص میشود
چند روز پس از این کاربیمار استراحت نسبی در منزل دارد
آیا این روش عوارضی هم دارد؟ 
این کار تحت فلوروسکوپی انجام میشود. فلوروسکوپ وسیلهای است که توسط اشعه ایکس تصویر مستقیمی را از داخل بدن به ما می دهد.با این روش از عوارضی مانند تزریق داخل نخاع یا داخل عروق جلوگیری میشود
استفاده از رادیوفرکونسی در بیمارانی مشکل مفصل فاست را هم دارند میتواند سبب بهبود کامل بیماران گردد.
ب. درمان جراحی تنگی کانال
در چه بیمارانی عمل جراحی باز باید انجام شود؟
۱. مشکل حرکتی پیشرونده
۲.اختلال در کنترل ادرار و مدفوع
۳. محدودیت شدید حرکتی در بیماران
۴. عدم پاسخ به درمانهای غیر جراحی

مراجعه بیماران به کلینیکهای درد میتواند با انجام درمان به موقع از پیشرفت بیماری و نیاز به انجام عمل باز جلوگیری نماید.
نویسنده : دکتر مجید حیدریان
فوق تخصص درد